Bewahren Sie Ihr Lächeln – ein Leben lang.
Retainer sind der letzte Schritt Ihrer kieferorthopädischen Behandlung – entwickelt, um Ihr neues Lächeln nach Abschluss der Therapie zu erhalten. Sie werden individuell angefertigt und sind angenehm zu tragen, damit sich Ihre Zähne nicht zurückverschieben.
Retainer(schienen) können herausnehmbar oder festsitzend sein und halten Ihre Zähne nach der Behandlung in ihrer neuen Position. In den meisten Fällen werden sie nachts oder stundenweise getragen – abhängig von Ihrem individuellen Behandlungsplan. Festsitzende Retainer sind auf der Innenseite der Zähne verankert und sollten 1x pro Jahr kontrolliert werden.
Fünf einfache Schritte
Ihr Weg mit dem Retainer
Unsere Funktionen
Warum Retainer wichtig sind
Mehr erfahren
Was bedeutet KFO 360° eigentlich?
Lächeln ist einzigartig – genau wie unsere Betreuung. Von der Diagnose bis zur Behandlung nutzen wir moderne Technologien und einen persönlichen Ansatz, um Ihre kieferorthopädische Behandlung klar, angenehm und individuell zu gestalten. Sehen Sie sich das Video an, um zu erfahren, wie wir unsere Patienten in jedem Schritt unterstützen.
Der letzte Schritt Ihrer Behandlung
Retainer sind nach festen Zahnspangen oder Alignern unverzichtbar. Sie sind die beste Wahl, wenn Sie Ihr schönes Lächeln langfristig bewahren möchten.
Fehlbiss?
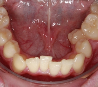
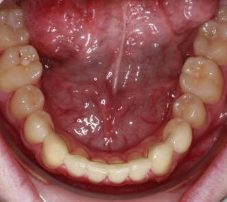
Vorher & Nachher – Stabile Erfolge
Retainer halten Ihr Lächeln stabil – sehen Sie, wie sie langfristig wirken.
Pflegetipps für herausnehmbare Retainer
-
Nach dem Herausnehmen abspülen
Halten Sie Ihren Retainer sauber, indem Sie ihn jedes Mal mit lauwarmem Wasser abspülen.
-
Gründlich reinigen
Reinigen Sie täglich Ihren Retainer mit einer harten Zahnbürste (ohne Zahnpasta), um Ablagerungen zu vermeiden.
-
Intenstiv-Pflege
Wenn sich Beläge gebildet haben, die sich mit der Zahnbürste nicht mehr lösen lassen, gönnen Sie Ihrem Retainer eine Tiefenreinigung mit speziellen Reinigungstabletten für Zahnspangen. Bei Retainer-Schienen nur lauwarmes Wasser verwenden – kein heißes, sonst kann sich die Schiene verformen.
-
Sicher aufbewahren
Legen Sie Ihren Retainer immer in die Aufbewahrungsbox, wenn Sie ihn nicht tragen, um Verlust oder Schäden zu vermeiden.
Lassen Sie uns Ihr Lächeln bewahren
Wie lange muss ich meinen Retainer tragen?
Das hängt von Ihrer Behandlung ab. Die meisten Patientinnen und Patienten beginnen mit ganztägigem Tragen und wechseln nach einiger Zeit zu einer reinen Nachtanwendung. Ihr Kieferorthopäde wird Sie durch den genauen Ablauf begleiten.
Kann ich meinen Retainer absetzen, sobald sich meine Zähne stabil anfühlen?
Es mag sich anfühlen, als würden sich Ihre Zähne nicht mehr bewegen – doch auch später können sie sich verschieben. Regelmäßiges Tragen des herausnehmbaren Retainers ist der beste Schutz für Ihr Ergebnis.
Was passiert, wenn ich meinen Retainer ein paar Tage lang nicht trage?
Es kann vorkommen, dass sich der herausnehmbare Retainer etwas eng anfühlt, wenn Sie ihn nach einer Pause einsetzen. Versuchen Sie, wieder regelmäßig nach Anweisung zu tragen, und geben Sie uns Bescheid, falls er nicht mehr passt – wir helfen Ihnen sofort weiter.
Muss ich meinen Retainer irgendwann ersetzen?
Ja, meist nach circa 10 Jahren. Retainer können sich mit der Zeit abnutzen oder ihre Passform verlieren. Wir überprüfen dies bei Ihren Kontrollterminen und empfehlen bei Bedarf einen Ersatz.
Wie sollte ich meinen herausnehmbaren Retainer reinigen?
Spülen Sie Ihren Retainer täglich mit lauwarmem Wasser ab und reinigen Sie ihn vorsichtig mit einer weichen Zahnbürste. Vermeiden Sie heißes Wasser und aggressive Reinigungsmittel, um Schäden zu verhindern.
Wie reinige ich meinen festsitzenden Retainer?
Reinigen Sie täglich Ihren Retainer mit einer Zahnbürste und einem Zahnzwischenraumbürstchen und /oder Superfloss (spezielle Zahnseide mit einem verstärkten Ende), um die Zahnzwischenräume zu reinigen. Wir geben Ihnen beim Einsetzen des Kleberetainers Reinigungstipps und zeigen Ihnen im Mund die Anwendung der Zahnputzhilfsgeräte.
Warum ist die regelmäßige Kontrolle des Retainers durch einen Fachmann wichtig?
Damit Sie dauerhaft Freude mit Ihrem Retainer haben und dieser zuverlässig Ihre Zähne stabilisiert, sollte 1-2 x jährlich eine Kontrolle von einem Fachmann erfolgen. Denn kleinere Defekte am Retainer bemerken die Patienten meistens oftmals nicht und können unerwünschte Zahnverschiebungen verursachen. Der Fachmann kontrolliert die Passung, sucht nach Beschädigungen und Abnutzungen.