Kieferorthopädie für Erwachsene in Wolfratshausen – Selbstbewusstsein in jedem Alter

Unsere Praxis ist eine urteilsfreie Zone. Wir betrachten Sie ganzheitlich und begegnen Ihnen mit Respekt, Fürsorge, Klarheit und einem individuellen Behandlungsplan, der zu Ihrem Leben passt.

Beginnen Sie Ihre Behandlung
junger Mann mit attraktiven Lächeln ist glücklich über seine Zahnkorrektur
Eine ältere Dame im mittleren Alter mit attraktiven Lächeln dank Kieferorthopädie Wolfratshausen.
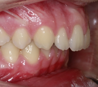
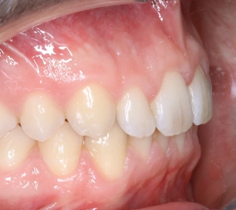
Attraktive Zähne dank ganzheitlicher Kieferorthopädie München Süd hat die junge Ärztin erhalten und ist sehr dankbar darüber trotz Zweitbehandlung, denn Sie hat jetzt kein starkes Kopfweh und Nackenverspannungen mehr.
Kieferorthopädinnen Wolfratshausen Dr. Jilek und Dr. Welker laden durch Ihr Lächeln herzlich ein sie kennen zu lernen.

Warum sich Erwachsene für Kieferorthopädie entscheiden

  • Lindert Kiefergelenkschmerzen

    Eine Bisskorrektur passend zu den Kiefergelenken kann Kopfschmerzen, Hals- und Nackenverspannungen und vieles andere CMD-Beschwerden lösen.

  • Stärkt Selbstbewusstsein & Ästhetik

    Wohlfühlen mit dem eigenen Lächeln verändert Ihr Auftreten im Beruf, auf Fotos und einfach Ihr eigenes Wohlbefinden.

  • Korrigiert frühere Probleme

    Haben Sie keine Retainer getragen oder hatten Sie nie eine Zahnspange? Die Behandlung hilft Ihnen, ihr Lächen zu verbessern und dauerhaft zu sichern.

  • Verbessert die Funktion

    Wir harmonisieren den gesamten Kauapparat und verbessern die Funktion: kein weiterer Zahnabrieb, Zahnfleischrückgang und Zahnschmerzen.

  • Ganzheitliche Gesundheit

    Ein falscher Biss kann den ganzen Körper negativ beeinflussen wie z. B. Beckenschiefstand, Verdauungsprobleme, Atmungsprobleme, Knieschmerzen usw.

Professionelle Betreuung und hoher Limit

Wir wissen, dass erwachsene Patient:innen einen vollen Terminplan und hohe Ansprüche an Ästhetik, Service und Qualität haben.

Höchste Qualität

Als eine der wenigen Praxen in Deutschland berücksichtigen wir nach unserem KFO360° Konzept digital die Bewegungen der Kiefergelenke in die Planung mit ein. Mit unserer High-End-Planung setzen wir einen fundamental neuernGoldstandard.

Verständliche Erklärungen und individuelle Betreuung

Wir erklären Ihren Plan Schritt für Schritt – damit Sie sich sicher fühlen, egal bei welchem Behandlungsschritt. In Notfällen sind wir 24h das ganze Jahr über da.

Flexible Terminbuchung

Wir passen uns an Beruf, Familie oder Reisen an – mit Terminen, die in Ihren Alltag passen. Unsere Sprechzeiten sind von Montag bis Freitag jeweils vormittags und nachmittags. Damit Sie vor oder nach der Arbeit / Schule zu uns kommen können.

Zahnspangen, Aligner & Bisskorrekturen für Erwachsene

Aligner Schienen, die zu Ihrem Leben passen

+ NEU: kiefergelenksorientiert geplant, individuell in Wolfratshausen hergestellt

Durchsichtige Alignerschienen sind diskret und herausnehmbar – bei Mahlzeiten, Meetings und Events – ganz ohne auffällige Brackets.

Dezente feste Zahnspangen aus Keramik

+ hohe Effektivität bei schwierigen Zahnbewegungen

Zahnspangen aus Keramik sorgen für gute Ergebnisse und einen unauffälligen Look - ideal für alle, die hohe Zuverlässigkeit wünschen ohne aufzufallen.<br />

CMD Schienen / Knirscherschienen

+ für eine schnelle Rehabilitation des Kausystems

Wir behandeln Kiefergelenksbeschwerden, craniomandibuläre Dysfunktion (CMD), Zähne Knirschen und Pressen mit individuell angepassten MAGO Funktionsschienen – für langfristigen Komfort und bessere Funktion.

Zweitbehandlung und Drittbehandlung

+ für lebenslange Harmonie im Kauapparat & Körper

Vor Jahren schon eine Zahnspange gehabt, aber die Zähne haben sich zurückverschoben oder CMD-Beschwerden sind vorhanden? Wir helfen Ihnen, alles wieder auszurichten – oft schneller als bei der ersten Behandlung.

ganzheitliche Planung, vorhersehbare Ergebnisse

+ NEU: revolutionär neues, ganzheitliches Konzept KFO360°

Wir nutzen 3D-Scans & Röntgen, Funktionsdiagnostik, Biss-Simulationen und Behandlungs-Vorschauen – damit Sie wissen, wo wir stehen und was als Nächstes kommt und wie Ihr Lächeln aussehen wird.

Kieferorthopädie für Erwachsene leicht gemacht

Every phase of treatment is powered by the KFO360° method, balancing how your teen looks, feels, and functions long term.

Beginnen Sie Ihre Reise
Schritt 1

Unverbindliche Beratung

Wir hören uns Ihre Ziele an, analysieren Biss und Zahnstellung und geben ehrliches Feedback – fundiert, umfassend und sorgfältig abgewogen.

hoher Patientenkomfort dank bequemen Sesseln in modernen Behandlungszimmern Fachpraxis KFO München Süd.
Schritt 2

revolutionär neuer Plan nach unserem ganzheitlichem Konzept KFO360°

Sie erhalten einen Behandlungsplan, der zu Ihrem Kauapparat und Körper passt – mit klar und verständlich erklärten Optionen.

Das ganzheitliche KFO360° Konzept erklärt Kieferorthopädin Dr. Theresa Jilek in KFO Praxis München Süd einer Patientin und gibt eine individuelle Beratung zu Zahnspangen.
Schritt 3

Flexible Termine

Die Termine sind gut geplant, effektiv und zielgerichtet und passen sich Ihrem Arbeits- und Lebensrhythmus an.

Flexible Termine und Kontrollen können auf Terminzettel unmittelbar in Fachpraxis KFO vereinbart werden.
Schritt 4

Ergebnisse, die bleiben

Vom ersten Scan bis zum finalen Retainer sorgen wir dafür, dass Sie sich mit Ihrem Lächeln großartig fühlen – und es auch dauerhaft so bleibt.

ganzheitliche Kieferorthopädin Dr. Welker und zufriedener Patient, da dank CMD Therapie München Süd keine Kiefergelenkschmerzen und Tinnitus mehr vorhandne sind.

Bereit für den ersten Schritt?

Es beginnt mit einer ganzheitlichen Anamnese, digitalen Scans und weiteren Vermessungen der Kiefergelenke, der Körperhaltung und einem ausführlichen Aufklärungsgespräch. Behandlungsmöglichkeiten werden aufgezeigt - und erklärt wie gut sich ihr Lächeln anfühlen könnte
Termin buchen

Häufig gestellte Fragen

Ist es für mich zu spät für eine Zahnspange?

Überhaupt nicht. Kieferorthopädie für Erwachsene ist heute so verbreitet wie nie zuvor – und wir passen Ihre Behandlung diskret und effizient an Ihre Bedürfnisse an.

Wie lange dauert eine Behandlung bei Erwachsenen?

Die meisten Behandlungen für Erwachsene dauern je nach Komplexität 6–24 Monate. Bei der Beratung geben wir Ihnen bereits einen realistischen Zeitplan.

Sind Aligner besser für Erwachsene geeignet?

Aligner Schienen sind wegen ihrer Ästhetik und Flexibilität eine beliebte Wahl für Erwachsene – wir helfen Ihnen jedoch, alle Optionen für Ihren Fall abzuwägen.

Beeinträchtigt die Behandlung meinen Beruf oder mein Sozialleben?

Dank modernster Technik und diskreten Behandlungsgeräten ändert sich nicht an Ihrem Selbstbewusstein. Die meisten Patient:innen haben sich schon innerhalb weniger Tagen an die Apparatur gewöhnt und sind sehr zufrieder mit Ihrer Wahl.

Ist eine kieferorthopädische Behandlung im Erwachsenenalter schmerzhaft?

Möglicherweise spüren Sie am Anfang einen gewissen Druck oder ein Spannungsgefühl, aber sollte gut aushaltbar– und viel einfacher sein, als viele erwarten.
"

Gibt es geeignete Zahnspangen für Erwachsene?

Prinzipiell kann jede Zahnspange (Aligner Schienen, feste Zahnspange, Lingualtechnik) bei Erwachsenen verwendet werden. Jedoch haben viele Erwachsene den Wunsch nach möglichst unauffällige Zahnspangen. Hierzu gehören Aligner, unsichtbare dünne Schienen, und Lingualbrackets, innenliegende feste Zahnspange.

Übernimmt die gesetzliche Krankenkasse die kieferorthopädische Behandlung bei Erwachsenen?

Ja und nein. Es kommt darauf an, welche KIG-Einstufung zu Beginn vorliegt und ob eine kieferorthopädische Behandlung mit Chirurgie kombiniert werden muss. Nur dann übernimmt die gesetzliche Krankenkasse eine kieferorthopädische Behandlung mit einer festen Zahnspange. Aligner Schienen werden von der Krankenkassen grundsätzlich nicht übernommen.

Wie hoch sind die Kosten für die feste Zahnspange bei Erwachsenen?

Je nach Aufwand und Ausprägungsgrad der Kieferfehlstellung und Zahnfehlstellung kostet eine Zahnspangenbehandlung durchschnittlich 2 bis 10.000 Euro. Bei speziellen ausgeprägten Fehlstellungen übernimmt die gesetzliche Krankenkasse bei Kombination mit Dysgnathiechirurgie die Basiskosten für die feste Zahnspange.

Gibt es eine Zusatzversicherung für eine Zahnspangenbehandlung bei Erwachsenen?

Ja, es gibt spezielle Zahnzusatzversicherungen, die auch kieferorthopädische Behandlungen bei Erwachsenen abdecken. Ohne eine solche Zusatzversicherung müssen die Kosten für eine Zahnspange in der Regel selbst getragen werden. Mit dem passenden Tarif lässt sich der Eigenanteil jedoch deutlich reduzieren.

Wichtig ist, genau hinzuschauen: Nicht jede Zahnzusatzversicherung beinhaltet automatisch „Kieferorthopädie für Erwachsene“. Auch auf Vergleichsportalen werden trotz entsprechender Filter häufig Tarife angezeigt, die diese Leistungen nicht abdecken. Anbieter wie z. B. Allianz oder ARAG bieten passende Tarife an, allerdings unterscheiden sich Leistungen, Wartezeiten und Erstattungsgrenzen deutlich.

Verursacht eine feste Zahnspange Schmerzen bei Erwachsenen?

Viele Erwachsene befürchten Schmerzen durch eine feste Zahnspange – das ist bei modernen Behandlungskonzepten jedoch meist unbegründet. In unserer Praxis arbeiten wir mit selbstligierenden Brackets (z. B. Forestadent), die mit deutlich sanfteren Kräften arbeiten als klassische Zahnspangen. Dadurch werden die Zähne schonend bewegt, was den Tragekomfort erhöht und Druck- oder Schmerzempfinden deutlich reduziert. Ein leichtes Spannungsgefühl zu Beginn oder nach Anpassungen ist möglich, klingt aber in der Regel schnell ab. Unser Ziel ist eine effektive, komfortable und möglichst schmerzfreie Behandlung, damit sich auch erwachsene Patientinnen und Patienten während der gesamten Therapie wohlfühlen.

Wie viele Zähne hat ein Erwachsener?

Die meisten Erwachsenen haben 28 Zähne. Sehr selten haben auch die 4 Weisheitszähne Platz, dann sind es 32 Zähne im Mund. Es gibt aber sehr schmale und kurze Kiefer, bei denen kleine Backenzähne (Prämolaren) gezogen werden mussten, damit die anderen 24 Zähne Platz im Kiefer haben. Die Weisheitszähne mussen bei diesen kleinen Mündern oftmals dann auch noch gezogen werden.

Kann bei Erwachsenen Kieferorthopädie durchgeführt werden?

Ja. Früher war man der Meinung, dass Kieferorthopädie bei Erwachsenen nicht möglich ist. Einige ältere Kollegen und Kolleginnen sind immer noch dieser Meinung. Jedoch hat sich schon längst gezeigt, dass dem nicht so ist. Viele Erwachsene profitieren sogar enorm von Kieferorthopädie im Erwachsenenalter.

Gibt es KFO Praxen, die Erwachsene ablehnen zu behandeln?

Ja. Der Grund ist, dass Erwachsenen Kieferorthopädie deutlich anspruchsvoller und auch zeitaufwendiger ist. Wir als ganzheitliche Fachzahnarztpraxis für Kieferorthopädie behandeln auch sehr schwierige und komplexe kieferorthopädische Fälle und somit auch Erwachsene und CMD-Patienten.

Wann sind feste Zahnspangen bei Erwachsenen erforderlich?

Sehr selten kann mit Aligner Schienen eine ausgeprägte Fehlstellung nicht korrigiert werden. In solchen Spezialfällen ist eine feste Zahnspange erforderlich. Es gibt aber selten auch Erwachsene, die keine Aligner Schienen wünschen, auch wenn diese bei ihnen möglich wären, weil sie sich selbst als nicht konsequent genug beim Tragen der Schienen einschätzen.

Alle FAQs anzeigen