KFO360° – Innovativ. Ganzheitlich und präzise. Für Sie gemacht

Individuell auf Ihr Lächeln und Ihren Lebensstil abgestimmte Behandlungen mit langzeitstabilen Ergebnissen.

Termin buchen

Unser KFO360° Konzept ist unser fortschrittlicher All-in-One-Ansatz, der jedes Detail Ihres Bisses und den Gesamtkörper berücksichtigt.

Mit digitaler 3D- und 4D-Technologie entwickeln wir ganzheitliche Behandlungskonzepte, die sich natürlich anfühlen, ästhetisch überzeugen und dauerhaft gesund und stabil bleiben.

Warum Ihr Biss so wichtig ist

Ein gesunder Biss kann mehr, als nur Ihre Zähne schön aussehen zu lassen. Er schützt Ihre Kiefergelenke und Ihre Zähne, entspannt die Muskulatur und beugt Kopfschmerzen, Nackenschmerzen, Kiefergelenkserkrankungen und Zahnabrieb vor.

Mit präzisen digitalen Analysen erkennen wir Probleme frühzeitig und behandeln sie schonend.
Machen Sie den 60 Sekunden CMD-Check

Unsere Besonderheiten

Was uns mit KFO360° besonders macht

Das 3er Äzteteam

+ Kieferorthopädie, Zahnmedizin und ganzheitliche innere Medizin

Prof. Dr. Jilek als Internist mit Schwerpunkt manueller Therapie / Osteopathie, Dr. Jilek als Fachzahnärztin für Kieferorthopädie und Dr. Wachter als Zahnärztin mit Schwerpunkt CMD haben ihr eigenes Therapiekonzept KFO360° entwickelt, revolutionär genauer und ein neuer Goldstandard.

Zähne, die zum Kiefergelenk passen

+ Planung entlang Ihrer persönlichen Gelenkachse

Wir richten Ihre Zähne so aus, dass sie sich natürlich zum Kiefergelenk bewegen. Spannungen werden vermieden und der Kauapparat ist in Balance.

Ein Biss, der zum gesamten Körper passt

+ ganzheitliches Betrachten & Behandeln

Prof. Jilek blickt als ganzheitlicher Internist mit Schwerpunkt manuelle Therapie (Osteopathie) besonders auf die Körperhaltung und weitere körperliche Anzeichen eines falschen Bisses.

3D-Kiefer & Kiefergelenk-Check

+ Ihre Kiefergelenke im Detail

Unsere modernen 3D-Röntgenaufnahmen zeigen genau, ob Ihre Kiefergelenke richtig positioniert sind und ob Anzeichen von Arthrose oder Entzündungen bestehen.

Manuelle Therapie / Osteopathie

+ falscher Biss beeinflusst die Körperkette

Ein falscher Biss beeinflusst den ganze Körper und kann zu Beckenschiefstand und schlechter Belastung der Fußoberfläche führen. Prof. Jilek stellt derartige Probleme fest und behandelt sie.

Knochenstabilität, auf die Sie vertrauen können

+ Kontrolle des Knochens rund um jeden Zahn

Wir kontrollieren genau, wie viel Knochenangebot jeder Zahn rundum hat – so bleibt alles langfristig stabil und gesund.

Ganzheitliche, präzise Planung nach KFO360°

+ Digitaler Behandlungsfahrplan

Mit modernsten digitalen Geräten planen wir jeden Schritt Ihrer Behandlung – wie ein Navigationssystem auf dem Weg zu Ihrem besten Lächeln.

Ergebnisse, die bleiben

+ Ihr Lächeln gesund und stabil erhalten

Ein ausgewogener Biss sieht nicht nur gut aus, sondern beugt auch Zahnabnutzung, Zahnfleischrückgang und Muskelverspannungen vor.

Botox Injektion

+ für eine schnelle Entspannung der Muskulatur

Gerade bei jahrelangen Zähneknirschen (Bruxismus) und Pressen haben viele Menschen eine überentwickelte und sehr verspannte Muskulatur. Eine Botox Behandlung lindert schnell und effektiv die Muskelverspannung.

Fein abgestimmter Biss

+ Anpassung kleinster Details

Wir feinjustieren jeden Zahnkontakt, damit Ihre Zähne in perfekter Harmonie zu den Kiefergelenken gleichmäßig aufeinandertreffen und sich beim Zubeißen natürlich und angenehm anfühlen.

Alles hängt zusammen: Kiefer, Körper & Biss

Wir behandeln mehr als nur Zähne – denn Ihr Biss beeinflusst den ganzen Körper. Wenn Zähne, Kiefergelenke und Kau­muskulatur aus dem Gleichgewicht geraten, kann dies die Kopf- und Körperhaltung negativ beeinflussen und Kopfschmerzen, Verspannungen und Schlafstörungen verursachen. Darum setzen wir auf unser ganzheitliches KFO360°-Konzept.

Beginnen Sie mit einer KFO360°-Beratung
Nacken- und Rückenschmerzen
Muskelverspannungen
Knie- und Hüftschmerzen
Kopfschmerzen / Migräne
Schlechter Schlaf
Knieschmerzen
Mit KFO360° richten wir Ihre Zähne im Einklang mit Kiefer und Körper aus – für Ergebnisse, die gut aussehen, sich richtig anfühlen und länger halten.
Andere Symptome
Tinnitus / Ohrenschmerzen
Augenschmerzen
Schwindel
Zahnfleischrückgang
Knirschen /Pressen
Kiefergelenkknacken
Mundöffnungseinschränkung
Verdauungsprobleme
Schwindel
Taubheitsgefühle der Hände
Depressionen
Müdigkeit / Konzentrationsschwäche
Zahnabschliff
Zahnschmerzen
Schnarchen & Schlafapnoe
Atemprobleme
Zungendyskinesie / Zungenfehlfunktion
falsches Schlucken
Beinlängendifferenz & Beckenschiefstand

Alles ist miteinander verbunden

Ist das Gleichgewicht zurück, verändert sich alles:

Kiefer, Körper & Biss
Progress slider image Progress slider image
  • Kopfschmerzen Progress slider tag icon
  • Verspannungen Progress slider tag icon
  • Langfristige Beschwerden Progress slider tag icon
  • Schlechter Schlaf Progress slider tag icon
  • Kopfschmerzfrei Progress slider tag icon
  • Ausgeglichene Körperhaltung Progress slider tag icon
  • Entspannter Kiefer & entspannte Muskulatur Progress slider tag icon
  • Tiefer, erholsamer Schlaf Progress slider tag icon

Ein stabiler Biss bedeutet nicht nur gerade Zähne – er sorgt dafür, dass Kiefer, Wirbelsäule und Körper so zusammenarbeiten, wie sie sollten.

Mit unserer KFO360°-Diagnostik können wir sehen, wie alle Bereiche zusammenwirken – und genau erkennen, wo Ungleichgewichte entstehen.
So entwickeln wir Behandlungen, die nicht nur gut aussehen, sondern sich auch richtig anfühlen – im Alltag, in der Bewegung und für Ihr gesamtes Wohlbefinden.

Starten Sie mit einer KFO360°-Beratung

Wir behandeln mehr als nur Zähne – denn Ihr Biss beeinflusst Ihren gesamten Körper.
Wenn Kiefergelenke, Muskulatur und Körperhaltung aus dem Gleichgewicht geraten, kann das zu Kopfschmerzen, Verspannungen, schlechtem Schlaf und langfristigen Beschwerden führen. Deshalb verfolgen wir einen ganzheitlichen Ansatz.

Mit KFO360° bringen wir Ihre Zähne in Einklang mit Kiefer und Körper – für Ergebnisse, die gut aussehen, sich richtig anfühlen und langfristig wirken.

Starten Sie mit einer KFO360°-Beratung

Schlechter Biss? Und Sie wissen es nicht einmal?

Häufige Anzeichen eines Fehlbisses:


– Zähneknirschen & Pressen
– Zahnfleischrückgang
– Abgeschliffene Zähne 

Termin buchen

Lernen Sie uns kennen

Wir nehmen uns so viel Zeit, wie Sie benötigen

Unser Konzept KFO360° berücksichtigt Ihre individuellen Bedürfnisse – ob Sie als Erwachsener eine diskrete Behandlung wünschen oder als Elternteil die bestmögliche Zahnspange für Ihr Kind suchen.

Richtet die Zähne basierend auf der Bewegung des Kiefergelenks aus.

Vor der Zahnbewegung werden Knochenstützpunkt und Wurzelposition überprüft.

Entwickelt für langfristigen Komfort und Beißstabilität

Technologie, die den Unterschied macht

Wir nutzen modernste, ganzheitliche Technologien, um genau zu sehen, wie Zähne, Kiefergelenk und Muskulatur und Kiefer zusammenarbeiten – nichts bleibt dem Zufall überlassen.

4D-Funktionsdiagnostik

Wir zeichnen Ihren Kiefer in Bewegung auf, um zu verstehen, wie Gelenke, Muskeln und Zähne zusammenarbeiten. So planen wir Behandlungen präzise und gelenkschonend.

  • Echtzeit-4D-Tracking beim Kauen und Sprechen
  • Erkennt Bissungleichgewichte und Überlastungen der Kiefergelenke
  • Unterstützt Schienen, Aligner und kieferorthopädische Anpassungen
4D-Funktion entdecken
Frau, bei der ganzheitliche Funktionsdiagnostik Kieferorthopädie durchgeführt wird und eine Bissanalyse und Okklusionsdiagnostik erstellt wird.

3D-Röntgenbildgebung

Unsere 3D-Röntgenaufnahmen zeigen Zähne und Kiefergelenke im Detail—bis zu 70 % mehr Informationen als 2D-Bilder. So erkennen wir Probleme früh und beugen Komplikationen vor.

  • KFO 360°-Ansichten der Kiefergelenke
  • Knochenkartierung zur genauen Vermessung von Ober-/Unterkiefer und Kiefergelenken
  • Atemwegsbeurteilung bei atembezogenen Beschwerden
3D-Röntgenbilder ansehen

Digitaler Scan (ohne Abdrücke)

Mit einem kleinen Scanner erstellen wir ein präzises 3D-Modell Ihrer Zähne—ohne klebrige Abdrücke. Schnell, komfortabel und sofort planbar.

  • Abformung ohne Würgereiz und ohne „Sauerei“
  • Sofortige Visualisierung von Lächeln und Biss
  • Hohe Passgenauigkeit für Aligner, Retainer und individuelle Schienen
Ihr digitales 3D-Modell ansehen

CMD-Diagnostik

Umfassende Abklärung von Kiefergelenk und Muskulatur zur Ursache von Bissproblemen, Kopfschmerzen oder Gesichtsbeschwerden.

  • Funktionstests der Gelenke und Kaumuskeln
  • Analyse von Haltung und Bissbeziehung
  • Persönlicher Therapieplan (Schienen, Physiotherapie, Kieferorthopädie)
CMD-Befunde ansehen
abnormale Kiefergelenksstellung bei CMD Erkrankung und Arthrose Kiefergelenk

T-Scan / Okklusion

Ein dünner digitaler Sensor misst, wo und wann Zähne Kontakt haben, und zeigt die Kraftverteilung im Biss.

  • Lokalisierung von Druckspitzen, die Schmerzen oder Abrieb verursachen
  • Kontakt-Timing zur Feineinstellung des Bisses
  • Präzise Führung von Anpassungen an Restaurationen und Alignern
Ihre Bissanalyse ansehen

3D-Gesichtsscan

Hochauflösende 3D-Fotografie erfasst Ihre Gesichtsproportionen und die Dynamik des Lächelns für natürliche Ergebnisse.

  • Harmonisiert Zahnposition mit Lippen, Nase und Kinn
  • Verknüpft Gesichts- und Zahndaten für maximale Genauigkeit
  • Nicht invasiv und ohne Strahlenbelastung
3D-Gesichtsscan ansehen

Knochenkartierung

Fortgeschrittene Analyse der 3D-Bilder kartiert Knochenvolumen und -dichte für eine sichere, planbare Behandlung.

  • Bestimmt sichere Zonen für Zahnbewegungen oder Mini-Schrauben
  • Beurteilt knöcherne Strukturen der Kiefergelenke
  • Verbessert Risikobewertung und Behandlungsplanung
Knochenkartierung ansehen

Digitale Bissplanung

Wir entwerfen Ihren idealen Biss am virtuellen Modell—unter Berücksichtigung von Gelenken, Muskulatur und Gesichtsharmonie.

  • Simulation von Bisskontakten und Führung für Komfort
  • Abstimmung der Zahnposition mit Gelenken, Muskeln und Atemwegen
  • Klarer Schritt-für-Schritt-Plan vor Behandlungsbeginn
Ihren Bissplan ansehen
digitale Kieferorthopädie

Digitale Bracket-Positionierung

Brackets werden auf dem 3D-Modell digital platziert und hochpräzise auf die Zähne übertragen.

  • Präzisere Zahnbewegungen von Anfang an
  • Weniger Kurskorrekturen und kürzere Termine
  • Individuelle Übertragungsschienen für effizientes Bonding
Bracket-Positionierung ansehen
Patientenfoto mit präzise geklebter fester Zahnspange

Aligner-Planung

Jede Aligner-Stufe wird virtuell geplant, um Zähne effizient zu bewegen und die Kiefergelenke zu schützen.

  • Vorhersehbarer Verlauf mit weniger Nachkorrekturen
  • Attachments und IPR nur dort, wo nötig
  • Digitale Verlaufskontrolle der Ergebnisse
Aligner-Plan ansehen

Mini-Implantat-Positionierung (TADs)

Die ideale Position kieferorthopädischer Mini-Schrauben wird anhand Ihrer 3D-Anatomie geplant und geführt gesetzt.

  • Schont Wurzeln und Nerven dank anatomiebasierter Planung
  • Geführte Insertion für Komfort und Stabilität
  • Ermöglicht komplexe Bewegungen ohne Außenzug
Minischrauben-Plan ansehen

Ergebnis-/Smile-Simulation

Sehen Sie Ihr zukünftiges Lächeln und Ihren Biss noch vor dem Start—für eine Entscheidung mit gutem Gefühl.

  • Realistische Vorher-/Nachher-Ansichten aus mehreren Blickwinkeln
  • Verständliche Darstellung der Etappen und Ziele
  • Gleiche Erwartungen bei Patient und Behandler
Ihr zukünftiges Lächeln ansehen

3D-Druck

Wir fertigen Modelle, Trays und Schienen im Haus mit medizinischer Präzision—schnell.

  • Schnelle Bereitstellung individueller Geräte
  • Hohe Genauigkeit und konstante Passung
  • Weniger Abfall und geringere Anpassungen am Stuhl
3D-Modelle ansehen
Dr. Jilek hält Zahn Schaumodell mit fester Drahtzahnspange und erklärt Tragezdauer feste Zahnspange und Reinigung feste Zahnspange.

Geräteherstellung

High-Tech-Fertigung von Alignern, Retainern und Schienen für zuverlässige Passform und Funktion.

  • Digital gesteuerte Formgebung und Finishing
  • Qualitätskontrollen in jedem Schritt
  • Gefertigt nach Ihren Scans—nie von der Stange
Herstellungsprozess ansehen

Digitale Patientenkommunikation

Bleiben Sie zwischen den Terminen verbunden—mit sicherer Nachrichtenfunktion, Erinnerungen und klaren Anleitungen auf dem Smartphone.

  • Automatische Erinnerungen halten Sie im Zeitplan
  • Fragen oder Fortschrittsfotos jederzeit teilen
  • Verständliche Pflegehinweise direkt aufs Handy
Kommunikation ansehen

Mehr als nur Zähne

Entdecken Sie Ihr einzigartiges Bissprofil

Erleben Sie, wie moderne 3D- und 4D-Diagnostik uns ermöglicht, eine Behandlung zu planen, die sich vom ersten Tag an richtig anfühlt. Buchen Sie ein Beratungsgespräch – unverbindlich, aber mit klaren Antworten.

Beratungstermin vereinbaren
Sehen Sie Ihren 3D-Scan • Unverbindlich

Langfristige Lächeln-Ergebnisse

Traditionelle Behandlungen konzentrieren sich oft nur auf gerade Zähne. Mit KFO360° wird Ihr Biss so ausgerichtet, dass er natürlich mit Ihrem Kiefer zusammenarbeitet – für stabile und komfortable Ergebnisse, die langfristig halten.

95 % Stabilitätsrate
Stabile Lächeln. Funktional fürs Leben.

Unsere Patient:innen behalten ihre Ergebnisse dauerhaft, weil wir mit den natürlichen Kieferkräften und nicht dagegen arbeiten.

Keine Kieferschmerzen oder Verspannungen
Langfristiger Komfort

Indem wir die natürliche Gelenkachse berücksichtigen, verhindern wir Kiefergelenkprobleme, Muskelverspannungen und vieles mehr, die bei herkömmlicher Kieferorthopädie häufig auftreten.

Ihr Lächeln – geschützt
Langfristige ästhetische Stabilität

Regelmäßige Betreuung und unsere Planung sorgen dafür, dass Ihr Ergebnis ästhetisch auf höchstem Niveau bleibt – dauerhaft und stabil.

Schlechter Biss?

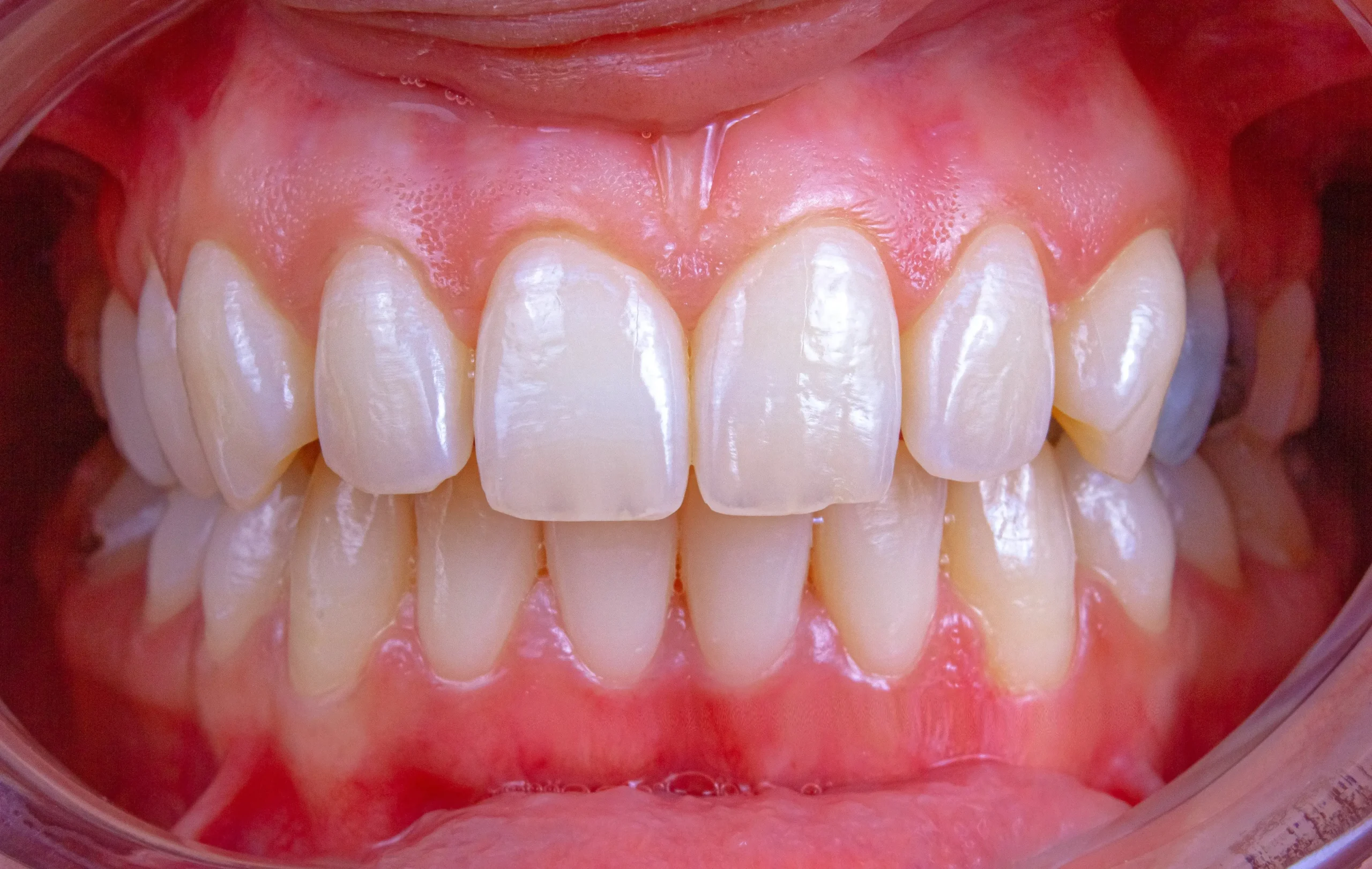
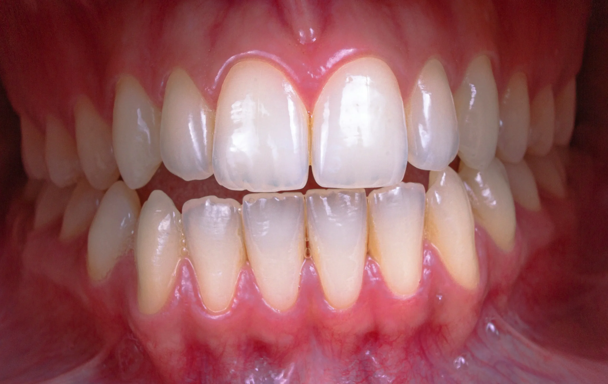
Vorher & Nachher

Sehen Sie wie eine Zahnspange das Aussehen und das Selbstvertrauen verändert haben.

Vor der Behandlung
Nach der Behandlung

„Ich kann kaum glauben, wie stabil meine Ergebnisse sind. Fünf Jahre später sieht mein Lächeln immer noch perfekt aus – und die Kopfschmerzen sind auch verschwunden!“ – Sarah, 34, Marketing Managerin

Behandlungsdauer

18 Monate

Bereit loszulegen?

Buchen Sie jetzt Ihre persönliche Erstberatung. Sie erhalten Einblicke in Ihre Behandlungsmöglichkeiten und ausreichend Zeit für Ihre Fragen – unverbindlich und allumfassend.

Termin buchen

Häufig gestellte Fragen

Was unterscheidet KFO360° von herkömmlicher Kieferorthopädie?

Mit unserem ganzheitlichen und funktionsorientierten Ansatz betrachten wir Zähne, Kiefergelenke, Atmung, Muskulatur und Körperhaltung als zusammenhängendes System. Dadurch können wir nicht nur die Zahnstellung verbessern, sondern auch die Funktion des gesamten Kauapparates nachhaltig optimieren.
Unsere Praxis in Wolfratshausen gehört zu den wenigen in Deutschland, die die 3-dimensionalen Bewegungen der Kiefergelenke vollständig in die digitale Behandlungsplanung integrieren.
Dr. und Prof. Jilek sowie Dr. Welker entwickelten das KFO360°-Konzept – ein ganzheitliches, kiefergelenksorientiertes und volldigitales Behandlungssystem.
Ob Kinder, Jugendliche oder Erwachsene:
Unsere maßgeschneiderten Therapien sorgen dafür, dass Zähne und Kiefer nicht nur ästhetisch, sondern auch funktionell optimal eingestellt werden.
Mit unserem wissenschaftlich fundierten, hochmodernen und individuell ausgerichteten Behandlungsansatz bieten wir Kieferorthopädie auf höchstem Niveau – für:
ein gesundes, strahlendes Lächeln
langfristige Stabilität
ein besseres Körpergefühl
Dr. Theresa Jilek ist zudem während ihrer Praxistätigkeit weiterhin wissenschaftlich publizierend, was die hohe fachliche Qualität und Innovationskraft unseres Konzeptes unterstreicht.

Wie lange dauert die Behandlung in der Regel?

Die Dauer einer kieferorthopädischen Behandlung hängt vom individuellen Befund ab:
Einfache Korrekturen benötigen häufig nur wenige Monate.
Komplexere Behandlungen dauern in der Regel 1 bis 2 Jahre.
Sehr anspruchsvolle Fälle können 2 bis 3 Jahre in Anspruch nehmen.
Mit Ihrer aktiven Mitarbeit – z. B. konsequentem Tragen von Apparaturen und guter Mundhygiene – erreichen wir die kürzestmögliche und effizienteste Behandlungszeit.

Ist KFO360° für Kinder geeignet?

Ja, absolut.
Das Konzept KFO360° ist nicht nur für Erwachsene entwickelt worden, sondern eignet sich besonders gut für Kinder. Denn bei Kindern befinden sich Kiefer, Atemwege, Muskulatur und Körperhaltung noch im Wachstum – und genau hier kann KFO360° frühzeitig und schonend unterstützen.
Mit unserem ganzheitlichen Ansatz betrachten wir nicht nur die Zahnstellung, sondern auch:
die Atmung (Nasen- vs. Mundatmung)
die Zungenlage
das Schluckmuster
das Kieferwachstum
die Mund- und Gesichtsmuskulatur
die Körperhaltung
die Funktion des Kiefergelenks
So können wir Fehlentwicklungen früh erkennen und in die richtige Richtung lenken, bevor größere Probleme entstehen.
Gerade bei Kindern ist dies ein entscheidender Vorteil, da:
schmale Kiefer rechtzeitig erweitert werden können
die Nasenatmung gefördert wird
Sprach- und Schluckfunktionen verbessert werden
spätere, aufwendigere Behandlungen oft vermieden werden
das Gesicht ästhetisch und funktionell harmonisch wachsen kann
KFO360° nutzt die natürlichen Wachstumspotenziale eines Kindes optimal aus – für gesunde Kiefer, stabile Zahnstellungen und eine gute Gesamtentwicklung.

Übernimmt die Versicherung die Kosten für eine KFO360°-Behandlung?

Die privaten Versicherungen übernehmen das Konzept, jedoch die gesetzlichen Krankenkasse lediglich eine ausreichen, zweckmäßig, wirtschaftliche Behandlung – jedoch nicht automatisch alle Bestandteile des ganzheitlichen KFO360°-Konzepts.
Warum?
KFO360° umfasst hochmoderne, digitale und funktionsorientierte Diagnostik- und Planungsschritte, die deutlich über den Leistungsumfang der klassischen Kieferorthopädie hinausgehen. Dazu gehören z. B.:
4D-Kiefergelenkmessungen
digitale Funktionsanalysen
spezialisierte Diagnostik der Gelenkachse
hochpräzise digitale Bissplanung
erweitere Vermessungen von Atmung, Zunge und Körperhaltung
Diese Leistungen ermöglichen besonders präzise, schonende und langfristig stabile Ergebnisse, sind jedoch Privatleistungen, die nicht im Standardkatalog der gesetzlichen Versicherungen enthalten sind.
Gesetzliche Krankenkasse (GKV)
übernimmt die Kosten einer Behandlung nur bei bestimmten Schweregraden (KIG 3–5)
die erweiterten digitalen Diagnostiken und funktionellen Analysen von KFO360° gehören nicht zum Leistungsumfang
Private Krankenversicherung (PKV)
übernimmt je nach Tarif einen größeren oder kleineren Anteil
hochwertige diagnostische Leistungen werden teilweise erstattet, abhängig von Vertrag & medizinischer Begründung
Wir erstellen vor Behandlungsbeginn einen transparenten Kostenplan und unterstützen Sie bei der Einreichung von Unterlagen bei Ihrer Versicherung.

Was, wenn ich bereits eine kieferorthopädische Behandlung hatte?

Auch wenn Sie bereits eine kieferorthopädische Behandlung abgeschlossen haben, kann das Konzept KFO360° für Sie sinnvoll sein. Viele Patienten kommen zu uns, obwohl sie früher schon einmal eine Zahnspange getragen haben – oft, weil:
sich die Zähne erneut verschoben haben
Beschwerden wie Knirschen, Kopfschmerzen, Nackenverspannungen oder Kiefergelenkgeräusche bestehen
die damalige Behandlung nur die Zahnstellung, aber nicht die Funktion berücksichtigt hat
der Biss nicht optimal zu den Kiefergelenken passt
die Stabilität des Ergebnisses unzureichend war.

Alle FAQs anzeigen